
اخبار و رودیدادها
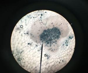
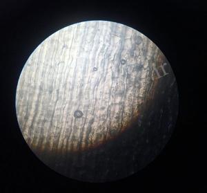
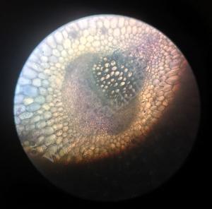
آوند چوبی و آبکش
خلاصه :
.دانش آموزان پایه نهم در آزمایشگاه زیست به مشاهده آوند چوبی و آبکش در ساقه گیاهان پرداختند. در این آزمایش دانش آموزان ابتدا با تهیه دو مقطع عرضی و طولی از ساقه کرفس، آوند چوبی و تفاوت آن با آوند آبکش را مشاهده نمودند. در انتها با مشاهده یک گل تک لپه با تفاوت ساختار و نحوه چینش آوندها در گیاهان تک لپه ای و دولپه ای آشنا شدند.